Бур провалился в бронхи пациента во время лечения зубов в России
Врачи извлекли стоматологический бур из бронха пациента.
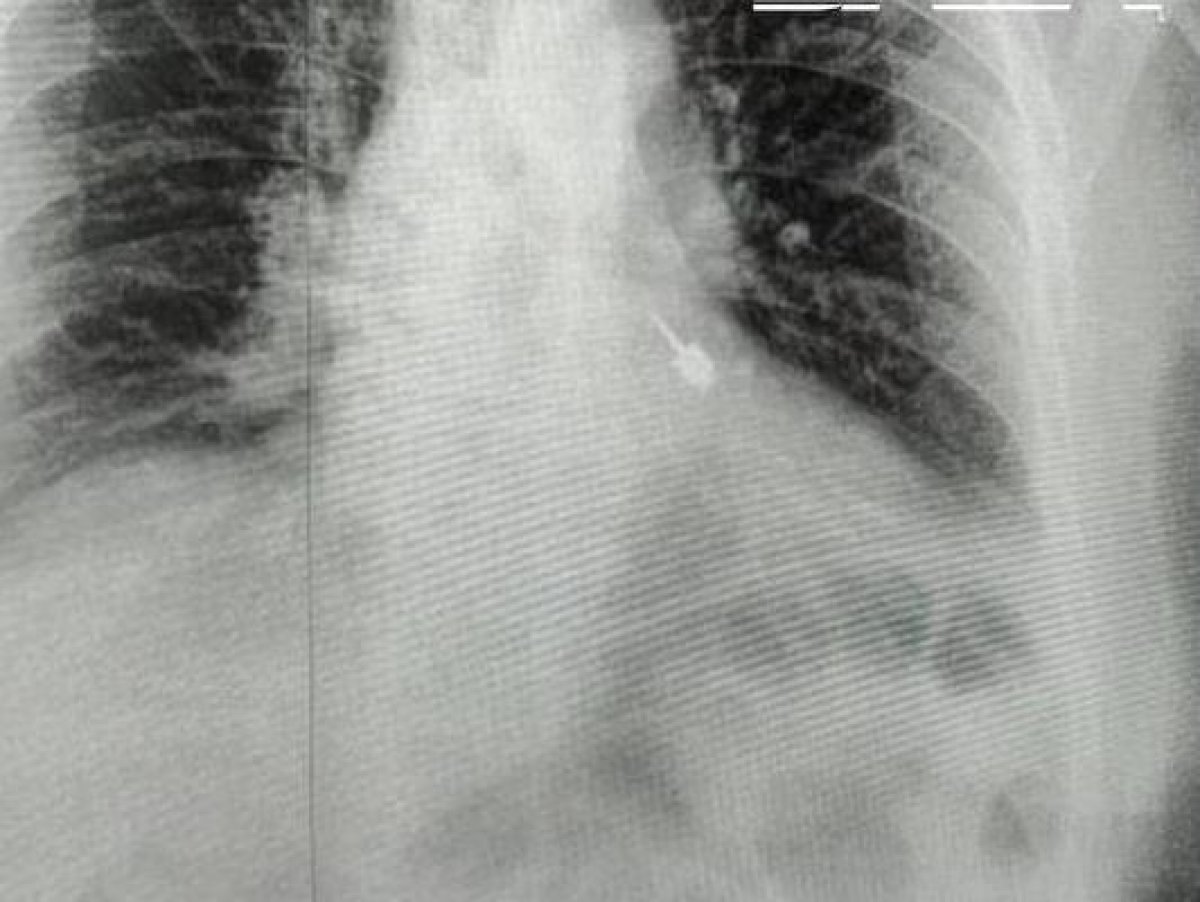
В частной клинике в Подмосковье во время лечения стоматологический бур оказался в дыхательных путях пациента и попал в бронхи, передает Liter.kz со ссылкой на BAZA.
Пациент сразу почувствовал резкую боль и обратился за помощью в больницу. Обследование с помощью рентгена показало, что инородный предмет находится в левом бронхе. Ситуация потребовала экстренного вмешательства. Врачи приняли решение о срочной операции, поскольку нахождение металлического предмета в дыхательных путях могло привести к серьезным осложнениям, включая повреждение тканей, развитие инфекции и угрозу для жизни.
Медицинская команда Мытищинская больница выполнила сложную эндоскопическую процедуру по извлечению инородного тела. По словам специалистов, операция требовала высокой точности: острые края инструмента могли повредить стенки бронха и вызвать внутреннее кровотечение. С помощью эндоскопического оборудования врачи аккуратно зафиксировали бур и извлекли его без повреждения дыхательных путей. Благодаря слаженной работе медиков удалось избежать осложнений, и состояние пациента стабилизировалось.
Читают на Liter

