Гвоздь возле позвоночника: петропавловцу чудом удалось выжить
Ремонт обернулся трагедией в Петропавловске.
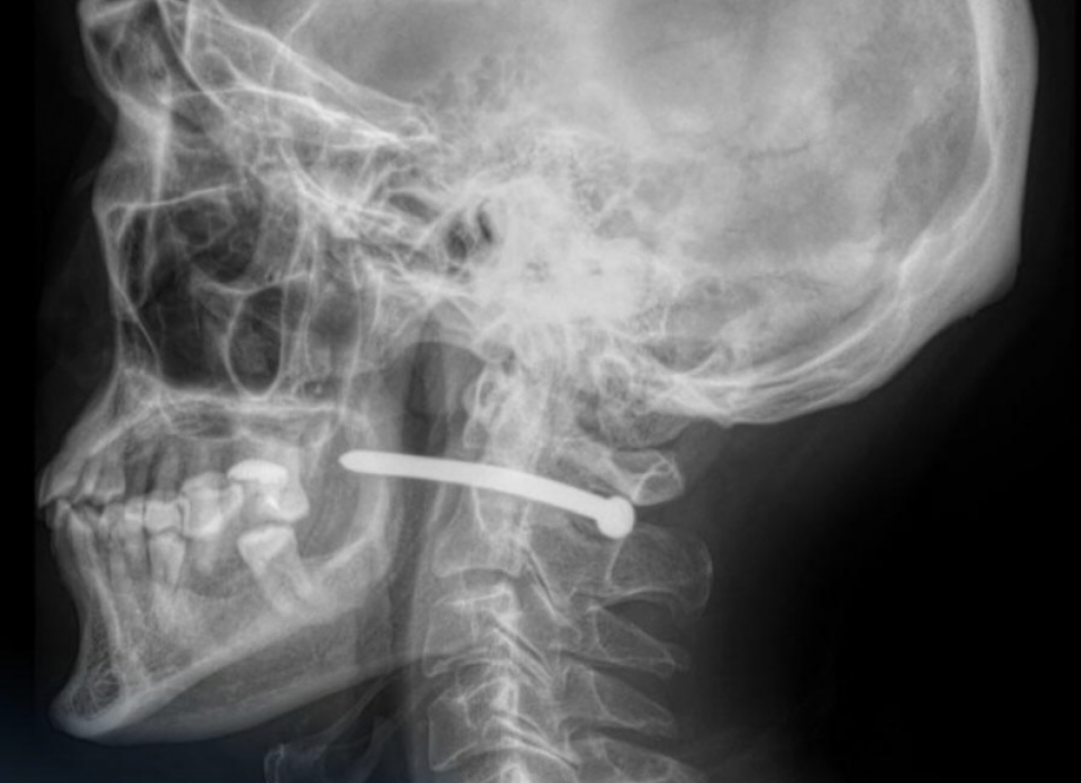
Во время ремонта 51-летний житель Петропавловска получил опасную травму – гвоздь из пневматического пистолета пробил кожу за ухом и прошел всего в нескольких миллиметрах от позвоночника, передает Liter.kz со ссылкой на Petropavlovsk.news.
Инцидент произошел, когда мужчина по неосторожности ранил себя инструментом. С ранением в заушной области он обратился в Многопрофильную городскую больницу скорой медицинской помощи. После рентген-исследования врачи установили, что гвоздь прошел рядом с шейным отделом позвоночника. По словам медиков, мужчине повезло – жизненно важные структуры не были задеты.
"Челюстно-лицевыми хирургами проведено удаление инородного тела, ревизия и обработка раны. После наложения швов и стерильной повязки пациент с рекомендациями отпущен домой", – сообщили в медучреждении.
Медики напоминают, что травмы в области шеи чрезвычайно опасны, ведь рядом проходят крупные сосуды, нервы, дыхательные пути и спинной мозг. Даже незначительное повреждение может привести к серьезным последствиям. Врачи советуют соблюдать технику безопасности при работе с инструментами, использовать защитные средства и при любых травмах сразу обращаться за медицинской помощью.

