Стоматологи обнаружили пулю в челюсти пациентки из Караганды
8 лет девушка живет с пулей в челюсти.
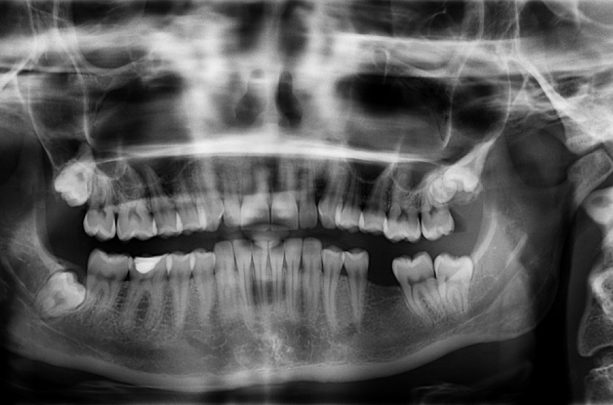
Жительница Караганды Валерия узнала, что в ее челюсти на протяжении восьми лет находилась пуля. Инородный предмет был обнаружен во время стоматологического обследования, передает Liter.kz со ссылкой на nv.kz.
Травма была получена в 2017 году в одном из тиров.
“Я тогда помогала друзьям в тире… Была игра, в которой мишень нужно было относить в самый конец, чтобы участники стреляли и затем подсчитывались баллы. Обычно я сама заряжала и настраивала оружие, но в этот день сделала исключение”, – вспоминает она.
После инцидента, по ее словам, скорую помощь никто не вызывал. Несколько дней сохранялась сильная боль, но затем симптомы прошли.
О том, что пуля осталась в теле, Валерия узнала лишь спустя восемь лет, когда обратилась в стоматологию:
“Нужно было сделать снимок, и врачи спросили, что это за предмет. По форме я сразу поняла, что это та самая пуля из тира”.
Обследование показало, что пуля прошла через губу, через зубы, через щеку и застряла в жевательной мышце.
“В больнице мне объяснили, что пулю можно удалить или оставить, так как за это время она закапсулировалась”, – отметила девушка.
Взвесив риски, она решила отказаться от операции.
Читают на Liter

